gala-thuong-hieu-viet-top-2

Thứ năm, 15/11/2018, 16:07 GMT+7

Trồng răng sứ như thế nào, giá cả ra sao?

Viết bởi Mai Ngọc   
Thứ năm, 15/11/2018, 16:07 GMT+7

Khán giả Thanh Lan - TPHCM đã gửi câu hỏi đến nha khoa với nội dung: “Chị có hàm răng mọc hơi khấp khểnh và bị xỉn màu. Chị có đi tẩy trắng răng nhiều lần mà không trắng lên được nhiều. Chị nghe nói tới phương án trồng răng sứ có thể chỉnh sửa lại được. Vậy phương án này có khả thi không? Giá cả như thế nào? Xin cám ơn!”

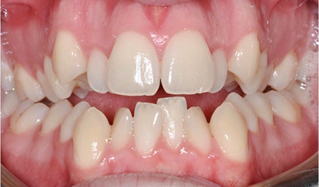
 rang-su-dong-nam-1

Hình ảnh tình trạng răng của Thanh Lan

Theo đó, các bác sĩ tại nha khoa đã giải đáp như sau:

Chào chị Thanh Lan, rất cảm ơn chị đã yêu mến và gửi câu hỏi về cho chúng tôi. Từ thông tin mà chị đã cung cấp, chúng tôi xin được giải đáp về vấn đề của chị như sau:

Hình thái răng không tốt, bị khập khểnh ít nhiều sẽ gây khó khăn cho việc vệ sinh răng miệng. Màu trên thực phẩm dễ dàng bám lại trên bề mặt răng và tạo một lớp ố vàng. Đây có thể nguyên nhân chính làm cho răng của chị bị xỉn màu.

Ở trường hợp của chị, tẩy trắng răng sẽ KHÔNG mang lại kết quả điều trị tối ưu. Phương án khắc phục tốt nhất là trồng răng sứ. Giải pháp này sẽ giúp chị điều chỉnh lại cấu trúc răng. Đồng thời, lớp áo sứ bao bọc bên ngoài sẽ giúp che đi phần răng bị xỉn màu, giúp răng trở nên đều màu và thẩm mỹ hơn.

 rang-su-dong-nam-2

 Một ca bọc sứ cho răng bị nhiễm màu ở Nha khoa Đông Nam

Đầu tiên, các bác sĩ sẽ tiến hành mài bớt một bộ phận bên ngoài của răng và tiến hành căn chỉnh để giúp răng trở nên đều đẹp hơn. Mão sứ sẽ được chế tác dựa trên cấu tạo răng hàm và gắn vào trụ răng thật đã mài trước đó.

Màu sắc và độ bền của mão sứ phụ thuộc nhiều vào dòng răng sứ mà chị lựa chọn. Tùy vào sở thích và nhu cầu cầu của chị, các bác sĩ sẽ tiến hành tư vấn và trao đổi về loại răng phù hợp. Từ đó, giúp chị có được một hàm răng sáng đẹp như ý.

Trồng răng sứ cũng được chỉ định trong các trường hợp sau:

  • Hàm răng lệch lạc, mọc chen chúc;

  • Răng thưa, hô, móm;

  • Răng ố vàng, xỉn màu;

  • Răng nhiễm kháng sinh tẩy trắng không hiệu quả;

  • Răng bị gãy vỡ nhẹ còn chân răng khỏe mạnh;

  • Người có nhu cầu chỉnh sửa răng;

  • Răng bị sâu, viêm tủy.

Giá cả trồng răng sứ bao nhiêu?

Có hai loại răng sứ: răng sứ kim loại và răng sứ toàn sứ. Răng sứ kim loại có chi phí thấp nhưng dễ bị đen viền nướu, độ bền chắc không cao, răng toàn sứ khắc phục được những nhược điểm trên nên chi phí có phần nhỉnh hơn.

Răng sứ

Răng sứ
kim loại

Răng sứ Titan

Răng sứ
Emax

Răng sứ
Zirconia

Răng sứ
HI-Zirconia

Chi phí 1 răng

1,000,000đ

2,000,000đ

3,500,000đ

4,500,000đ

6,000,000đ

 Khi được hỏi về loại răng sứ nào được ưa chuộng nhất hiện nay, Bác sĩ Danh, chuyên gia răng sứ thẩm mỹ Nha Khoa Đông Nam cho biết: “Dù có chi phí rẻ hơn nhưng bởi những bất tiện mà nó mang lại nên ngày nay rất ít người thực sự muốn dùng răng sứ kim loại. Ưa chuộng nhất vẫn là loại răng sứ toàn sứ Zirconia và HI-Zirconia vì tỷ lệ mài răng thấp, đàn hồi như răng thật mà thời gian sử dụng lâu dài không cần phải thay thế.”

 rang-su-dong-nam-3

Trồng răng sứ bằng răng sứ toàn sứ HI-Zirconia

Chính vì thế, để đạt hiệu quả thẩm mỹ tốt nhất, nếu có điều kiện, chị nên lựa chọn răng sứ toàn sứ. Loại răng sứ này có màu sắc chân thật, thời gian sử dụng lâu dài và không cần phải thay thế nhiều lần như răng sứ kim loại.

Nếu cần thêm thông tin về trồng răng sứ thẩm mỹ, chị vui lòng liên hệ trực tiếp với Nha khoa Đông Nam để được các bác sĩ chuyên khoa tư vấn một cách nhanh chóng và chính xác nhất.

Nếu còn câu hỏi nào khác về trồng răng sứ toàn sứ cao cấp HI-Zirconia, bạn vui lòng liên hệ theo thông tin bên dưới:

NHA KHOA ĐÔNG NAM

Cơ sở 1: 411 Nguyễn Kiệm, P.9, Q. Phú Nhuận, TPHCM

Cơ sở 2: 614 - 616 Lê Hồng Phong, P.10, Q.10, TPHCM

Tổng đài: 1900.7141

Điện thoại: (028) 7.307.7141

Mobile: 0972.411.411

Email: Địa chỉ email này đã được bảo vệ từ spam bots, bạn cần kích hoạt Javascript để xem nó.

Website: www.nhakhoadongnam.com

PV

* Nội dung được Trường Sơn Media thực hiện theo GPKD


Tin liên quan:
Tin mới hơn:
Tin cũ hơn:

Xem thêm các bài viết cùng chủ đề với bài viết (phía trên):

Trồng răng sứ như thế nào, giá cả ra sao?

 

kndn1

bhql2024

hoa-moc-thien

dai-lam-moc